Slecht gebit kind
cariës kind
Melkgebit kinderen verwaarloosd? Maar hoe los je dat op?: Van gaatjes tot tandvleesproblemen, een slecht kindergebit komt steeds vaker voor. Niet voor niets opperde het kabinet recent nog een terugkeer van de schooltandarts. Eén op de vijf kinderen gaat namelijk nooit naar de tandarts. Met een periodieke controle bij de tandarts kun je veel gebitsproblemen al voorkomen, maar wat kunnen jij en je kind zelf doen aan een slecht melkgebit?
Cariës bij kinderen: een onderschatte infectieziekte
Klaagt je zoon of dochter over gevoelige kiezen? Eet je kind slecht? Doet tandenpoetsen pijn? Misschien zijn er kaaskiezen in het spel.
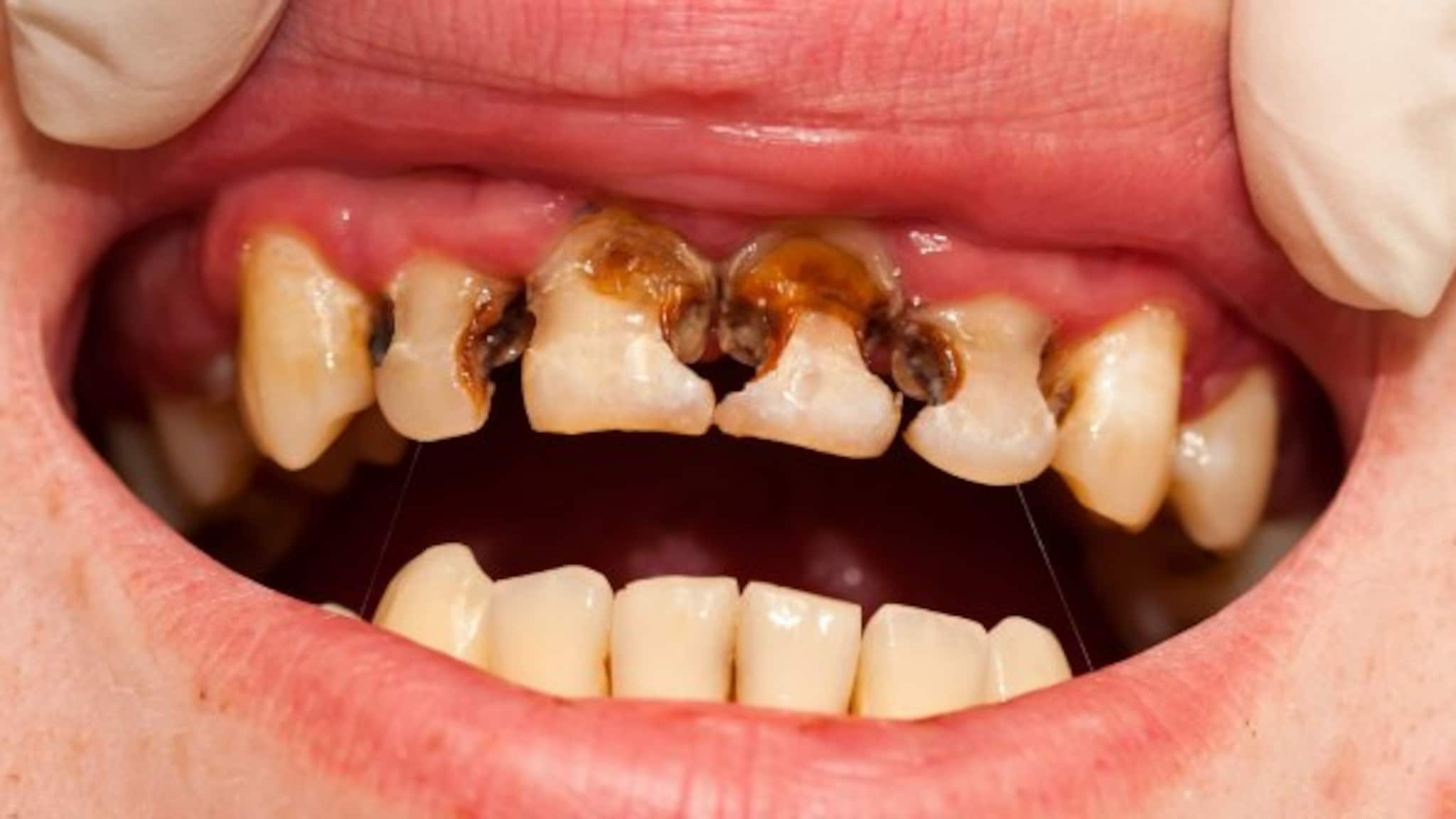
Kaaskiezen – Tandarts Maenen – Nijmegen: gaatje vullen kind 3 jaar - Er wordt nog niet goed genoeg gepoetst onder Nederlandse kinderen en jongeren. De verantwoordelijkheid om de tanden en kiezen gezond te houden ligt bij de ouders, menen de experts.
Steeds meer peuters hebben slechte melkgebitjes. En ook steeds meer kleuters hebben slechte tanden en kiezen. Nog niet de helft van alle vijfjarigen heeft een gaaf gebit. En een aangetast melkgebit is vaak een voorbode van een slecht blijvend gebit.
kaaskiezen kind
Tips om een slecht kindergebit te voorkomen | Kiesz: Een kwart van de tandartsen zegt kinderen te moeten doorverwijzen naar een gespecialiseerde kindertandarts of kaakchirurg. Poetsen loopt soms uit op een strijd die deze ouders niet altijd aangaan, aldus RTL Nieuws. Ook mijden ze de tandarts en gaan ze er pas naartoe als de pijn bij hun kind ondraaglijk is geworden. Dan is het vaak al te laat.
